EXIT PHOTOS
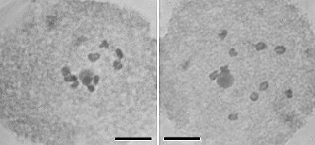
Diplopterys valvata. Meiotic chromosome figures, prophase I, n = 10. Scale bars = 10 µm. Anderson 12500, MICH.